Case from Ultrasound of the Week
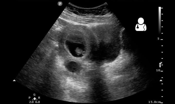
23 year old female G1P0 taking fertility drugs complains of abdominal cramping and vaginal bleeding.
Click for Videos and Explanation
What to know
23 year old female G1P0 taking fertility drugs complains of abdominal cramping and vaginal bleeding.
Click for Videos and Explanation
What to know
- Explain the clinically relevant anatomy of the female pelvis.
- Describe the indications, contraindications and pitfalls of CUS for first trimester pelvic pain and bleeding.
- Perform ultrasound protocol including transabdominal and endovaginal views.
- Understand the role of CUS, consultative US, and quantitative b-hCG in a clinical algorithm.
- Describe the differential diagnosis for first trimester pelvic pain and bleeding including intrauterine pregnancy, embryonic demise, molar pregnancy, ectopic pregnancy, and indeterminate classes.
- Recognize CUS findings and pitfalls when evaluating for early intrauterine pregnancy and ectopic pregnancy including recognition and location of early embryonic structures, direct and indirect findings of ectopic pregnancy and adnexal masses.
What to Read: Introduction to Bedside Ultrasound
Where to Learn More
US Podcasts
Intrauterine Ketamine? Pregnancy Part 2 by Casey Parker 2015
Ultrasound for Late Pregnancy with Casey Parker 2015
Interstitial Pregnancy with Resa Lewiss 2015
Pregnancy US Part I 2014
Pregnancy US Part II The Ectopics 2014
ACEP US Section Resources
ACEP Sonoguide US in Early Pregnancy Page by William Hosek
ACEP OB/Gyn Test by Mike Stone and Rob Blakenship
SAEM Academy of EUS Resources
Transvaginal Pelvic Ultrasound by Meghan Herbst
Transabdominal Pelvic Ultrasound by Lorraine Ng
Eastern Virginia Medical School
Ultrasound in Obstetrics and Gynecology - A Practical Approach. eBook by Alfred Abuhamad
Emergency Ultrasound by Geoff Hayden
OB Lecture
Key Articles to Review and Discuss
Intrauterine Ketamine? Pregnancy Part 2 by Casey Parker 2015
Ultrasound for Late Pregnancy with Casey Parker 2015
Interstitial Pregnancy with Resa Lewiss 2015
Pregnancy US Part I 2014
Pregnancy US Part II The Ectopics 2014
ACEP US Section Resources
ACEP Sonoguide US in Early Pregnancy Page by William Hosek
ACEP OB/Gyn Test by Mike Stone and Rob Blakenship
SAEM Academy of EUS Resources
Transvaginal Pelvic Ultrasound by Meghan Herbst
Transabdominal Pelvic Ultrasound by Lorraine Ng
Eastern Virginia Medical School
Ultrasound in Obstetrics and Gynecology - A Practical Approach. eBook by Alfred Abuhamad
Emergency Ultrasound by Geoff Hayden
OB Lecture
Key Articles to Review and Discuss
- Consensus. ACEP Emergency ultrasound guidelines. Ann Emerg Med. 2009;53(4):550–570.
- Moore C, Todd WM, O’Brien E, Lin H. Free fluid in Morison’s pouch on bedside ultrasound predicts need for operative intervention in suspected ectopic pregnancy. Acad Emerg Med. 2007;14(8):755–758
- Jang T, Ruggeri W, Dyne P, Kaji A. Learning Curve of Emergency Physicians Using Emergency Bedside Sonography for Symptomatic First-Trimester Pregnancy. J Ultrasound Med. 2010;29(10):1423.
- Bloch AJ, Bloch S a, Lyon M. Correlation of β-human chorionic gonadotropin with ultrasound diagnosis of ectopic pregnancy in the ED. Am J Emerg Med. 2013;31(5):876–7.
- Wang R, Reynolds TA, West HH, et al. Use of a β-hCG Discriminatory Zone With Bedside Pelvic Ultrasonography. Ann Emerg Med. 2011;58(1):12-20
Test Yourself
